RANGE
適応可能な症例

エミニナル矯正で矯正治療が可能かどうかは、患者様の口腔内や歯列の状態を一度診断し、矯正ドクターの適切な判断を受ける必要がございます。まずは、初回診断(歯型分析)をご予約ください。
-
八重歯やガタガタした歯並び
(叢生) -
上の歯が前に出ている
(出っ歯、上顎前突) -
下の歯が前に出ている
(受け口、下顎前突) -
中心がズレている
-
噛んだ時に前歯が閉じない
(開咬) -
奥歯が横にずれている
(交叉咬合) -
噛んだ時に下の歯が隠れる
(過蓋咬合) -
すきっ歯
(空隙歯列弓)
※矯正ドクター:矯正治療を専門としている歯科医師
※過去に矯正経験があり再矯正をご希望の方や歯軋りをしてしまう方、奥歯にインプラントがある方などは矯正治療が可能です。
ただし、矯正ドクターの診断の結果、症状によっては適応外と判断させていただく場合がございます。
※虫歯がある場合は虫歯治療後の施術となります。妊娠中の方は、安全面の観点からレントゲン撮影をお受けいただけません。
※ワイヤー矯正中の方も、切り替えていただくことが可能です。
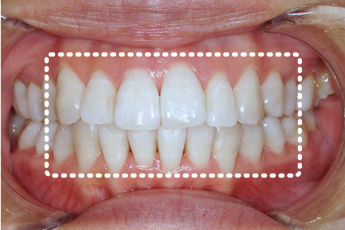
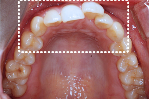
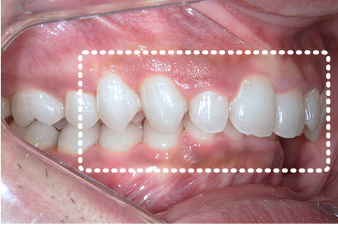
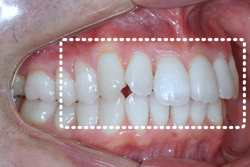
CASE
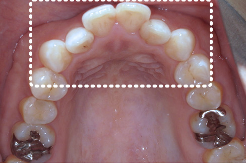
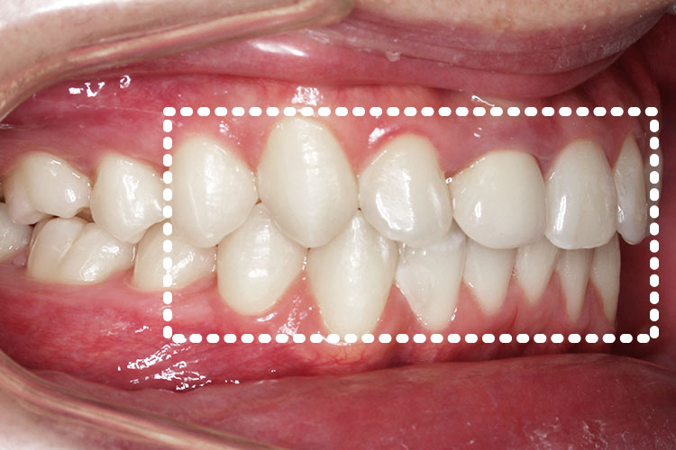
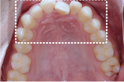
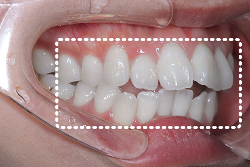
エミニナル矯正にて矯正ドクターが、過去に担当した患者様の症例と矯正治療前後の比較です。あくまで、症例のイメージですのでご了承ください。
※治療費用に関しては、矯正期間を元にエミニナル矯正で治療を行った場合の想定治療費用を算出し、記載しております。
※追加治療料金は、クリニックにより費用が異なります。
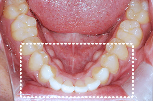
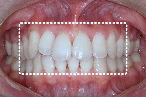
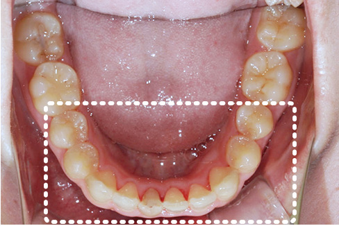
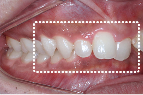
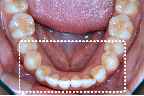
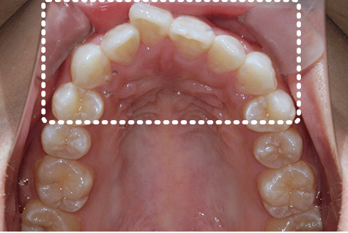
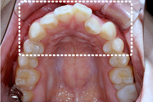
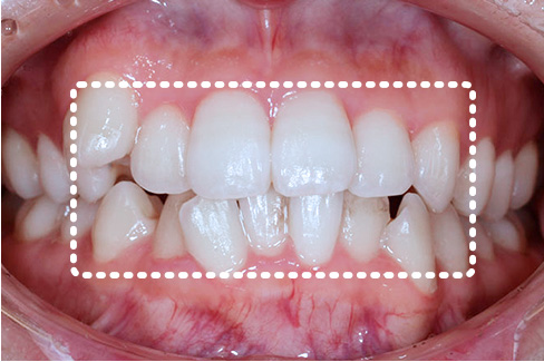
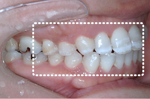
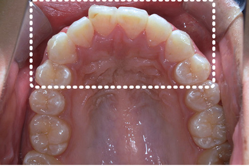
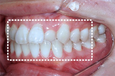
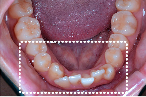
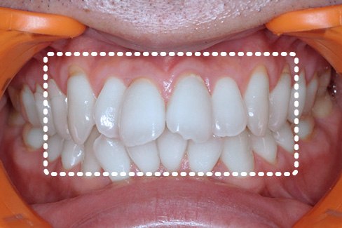
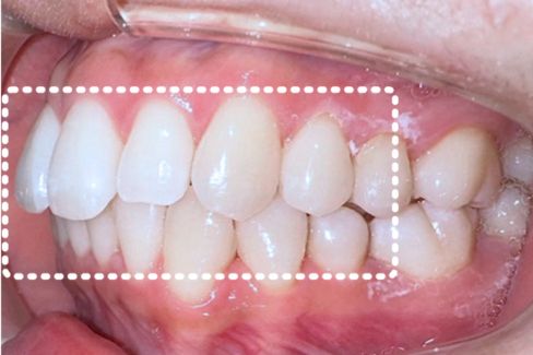
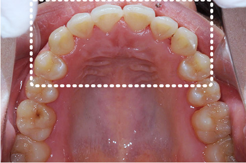
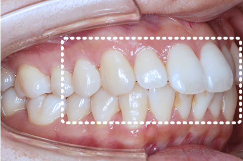
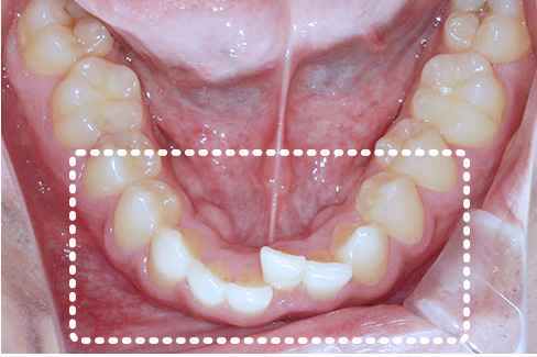
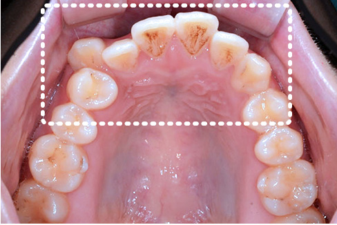
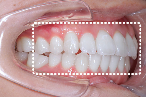
ガタガタした歯並び(叢生)
治療費用
追加治療
33万円(税込)
IPR 2.2万円 / アタッチメント 2.2万円 / 抜歯なし
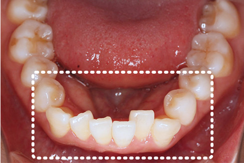
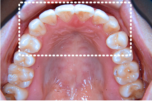
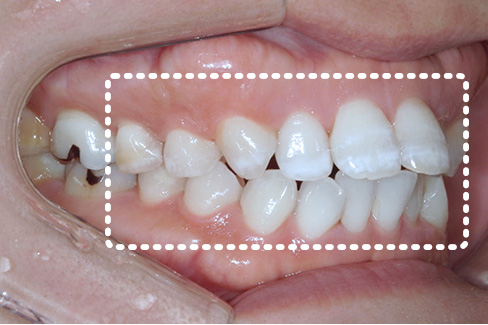
ガタガタした歯並び(叢生)
治療費用
追加治療
33万円(税込)
IPR 2.2万円 / アタッチメント 1.1万円 / 抜歯なし
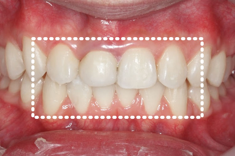
ガタガタした歯並び(叢生)
治療費用
追加治療
33万円(税込)
IPR 1.1万円 / 抜歯なし
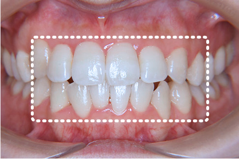
ガタガタした歯並び(叢生)
治療費用
追加治療
33万円(税込)
IPR 1.1万円 / アタッチメント 2.2万円 / 抜歯なし
ガタガタした歯並び(叢生)
治療費用
追加治療
33万円(税込)
IPR 2.2万円 / アタッチメント 1.1万円 / 抜歯なし
ガタガタした歯並び(叢生)
治療費用
追加治療
66万円(税込)
IPR 1.1万円 / 抜歯(1本)¥7,000 / ブリッジ除去(1回)¥5,000
ガタガタした歯並び(叢生)
治療費用
追加治療
85万円(税込)
IPR / アタッチメント / リンガルボタン 処置代なし
※フルプランの場合、総額に処置代を含みます
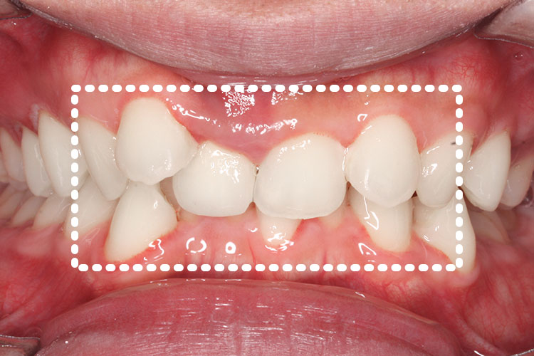
前歯のガタガタが大きい(叢生)
治療費用
追加治療
110万円(税込)
親知らず(4本)2.2万円/IPR処置代なし
※フルプランの場合、総額に処置代を含みます
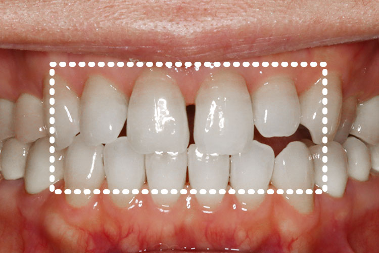
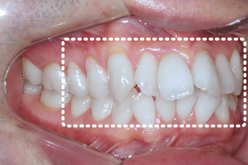
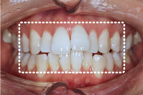
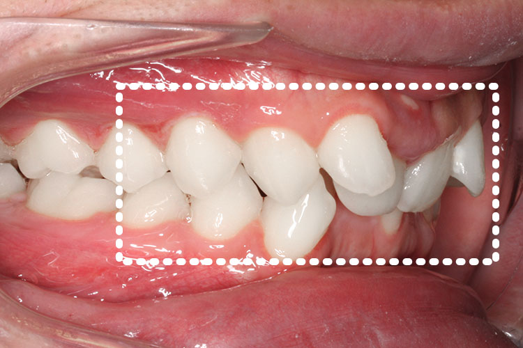
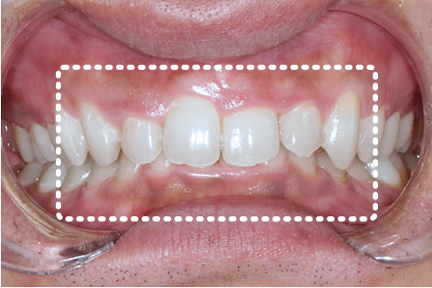
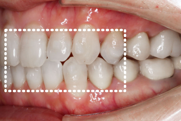
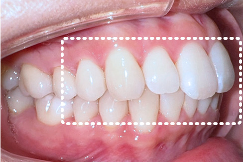
上の歯が前に出ている(上顎前突)
治療費用
追加治療
49.5万円(税込)
IPR 2.2万円 / アタッチメント 1.1万円 / 抜歯なし
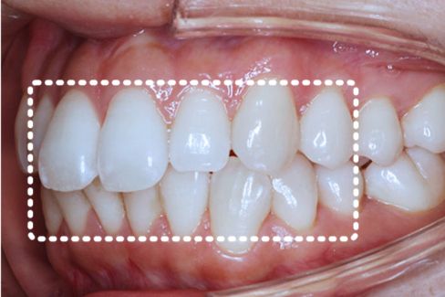
上の歯が前に出ている(上顎前突)
治療費用
追加治療
33万円(税込)
IPR 2.2万円 / アタッチメント 1.1万円 / 抜歯なし
上の歯が前に出ている(上顎前突)
治療費用
追加治療
33万円(税込)
IPR 2.2万円 / アタッチメント 2.2万円 / 抜歯なし
上の歯が前に出ている(上顎前突)
治療費用
追加治療
33万円(税込)
IPR 2.2万円 / アタッチメント 2.2万円 / 抜歯なし
上の歯が前に出ている(上顎前突)
治療費用
追加治療
66万(税込)
IPR 1.1万円 / 抜歯(1本)¥7,000
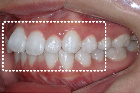
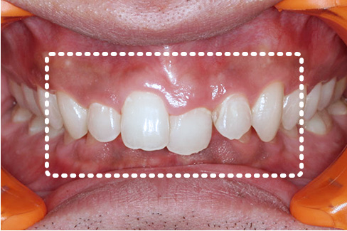
すきっ歯(空隙歯列)
治療費用
追加治療
33万円(税込)
なし
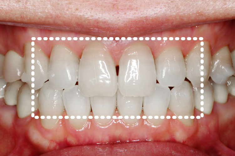
噛み合わせが深い(過蓋咬合)
治療費用
追加治療
33万円(税込)
IPR(1回) 2万円 / アタッチメント 1万円 / 抜歯なし
INTERVIEW
エミニナル矯正でマウスピース矯正治療中の患者様にインタビューをしました。
エミニナル矯正の魅力や、マウスピース矯正を始めた理由などを語っていただきました。
20歳 千葉県在住 女性
私にぴったりの矯正でした。
実は幼い頃ワイヤー矯正をしていたのですが、満足のいく状態にならず、大人になってからもずっと歯並びが気になっていました。ただ、ワイヤー矯正では、笑った時にワイヤーが見えてしまったり、歯磨きやお手入れにも苦労した記憶があり、矯正自体に抵抗がありました。
そんな時エミニナル矯正を知り、マウスピース矯正なら透明で目立たず、気にせず人と話せるので、これならできる!と思いました。また、食事や歯磨きの時には取り外せるので汚れも気にならず、私にはぴったりでした。
通院についても、近くの歯科医院に2、3カ月に一度通うのがプライベートも忙しく予定が決めづらく億劫でしたが、エミニナル矯正では基本1回と通院が少なくて済むことも魅力でした。
手厚いサポートと納得感があったので、始めてみようと思えました。
エミニナル矯正の魅力の1つは、サポートの手厚さです。エミニナル矯正を始めるか迷っている時も、公式LINEで「そもそも自分がエミニナル矯正で治療可能かわからない」と伝えたところ、丁寧に対応してくれました。
矯正治療についてネットで調べていたときに、よくある悩みとして「医師にすぐに相談できない」「そもそも相談すべきかを悩む」という声が気になっていました。エミニナル矯正では、治療中に気軽に相談できる専用チャットがあるのでよかったです。
※治療以外のサービス内容への個人の感想です。
注意事項(副作用やリスクなど)
-
歯の痛み、不快感
新しいマウスピースを装着直後は、不快感や痛み、窮屈さを感じることがございます。それらは、基本的に歯が動く時に生じる痛みであり、矯正の性質上避けられません。個人差はありますが、数日間から1、2週間程度で慣れることが多いです。万が一、強い痛みなどが発生してしまった場合は、公式LINE内の「相談室」から歯科医師にご相談ください。
-
装着の手間
エミニナル矯正では、1日20時間以上のマウスピース着用をお願いしています。また、食事や歯磨きの際には、着脱をして頂く必要がございます。
-
治療期間の延長
歯の動き方には個人差があること、およびマウスピース装着時間不足などの理由により、治療期間の延長をご提案する場合がございます。
-
矯正後の後戻り
矯正治療完了後は、保定装置(リテーナー)を装着いただき、歯の状態が後戻りすることを防ぎます。矯正治療後は、歯が元の位置に戻りやすいと言われており、最低でも矯正期間と同じくらいの期間のリテーナー装着が推奨されております。 就寝時にのみ装着するなど、徐々に使用頻度を下げながら続けることをおすすめいたします。
-
虫歯・歯周病
矯正期間中は、虫歯や歯周病になる可能性が高まる傾向があり、適切な歯磨きを心がけて頂く必要があります。また、矯正治療期間中の喫煙は、歯周病のリスクを高める可能性がございます。
-
その他のリスク
歯根吸収、歯肉退縮、歯髄壊死や変色、器具へのアレルギー症状、過去の怪我等により歯が動きにくい、といった可能性がございます。 矯正期間中も適切な歯磨きを心がけていただき、不安な点は治療開始前にご相談ください。